Dantų retencija po ortodontinio gydymo: kodėl ji būtina ir kokie metodai naudojami?
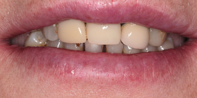
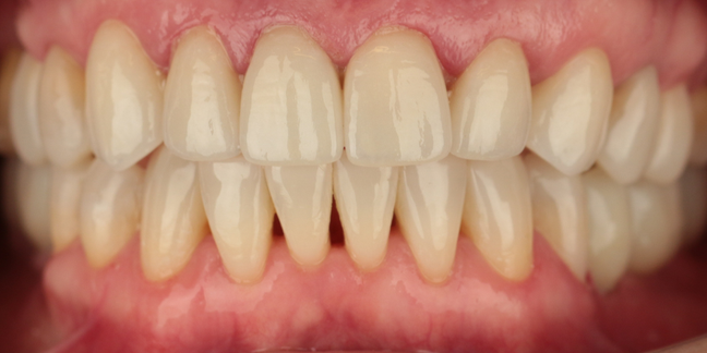
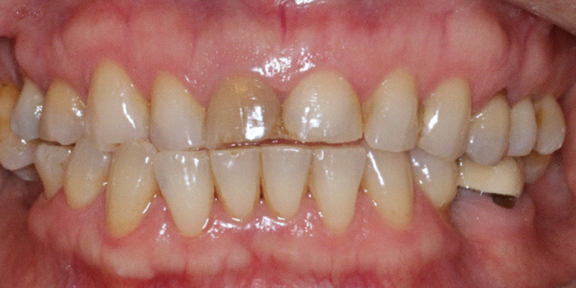
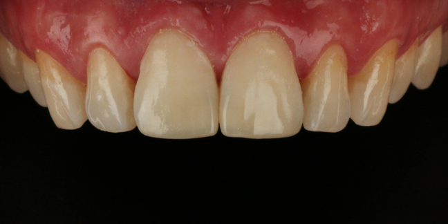
Ortodontinis gydymas – tai ilgalaikis procesas, kurio metu dantys palaipsniui perkeliami į taisyklingą padėtį. Tačiau daugelis pacientų nustemba sužinoję, kad nuėmus breketus gydymas dar nesibaigia. Prasideda ne mažiau svarbus etapas – retencija, kurios tikslas yra išlaikyti
Skaityti daugiau



















Sekite mus socialiniuose tinkluose